Before and After Photos of Encino Advanced Dentistry in Encino, CA
Encino Advanced Dentistry offers a wide range of treatments designed to enhance your smile and promote healthy teeth. At our dental practice, you’ll receive expert care from our skilled professionals, ensuring a comfortable and effective experience. Explore our before-and-after patient photos to see the transformative results. Visit us today and take the first step toward a brighter, healthier smile. For more information, contact us or schedule an appointment online. We are conveniently located at 5363 Balboa Blvd, #434 Encino, CA 91316.
PORCELAIN CROWNS (CAPS)
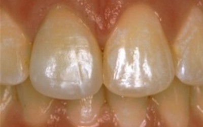
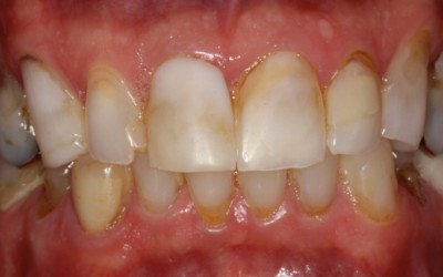
Before: Front (left) Central tooth has a poor restoration. Does not look natural and is not contoured properly to match the gumline of the rest of the teeth.
After: Replaced with an All Porcelain Crown (no metal). Tooth is now contoured to match the rest of the gumline. Restored tooth looks very natural and matches the shape and color of the patient’s teeth.
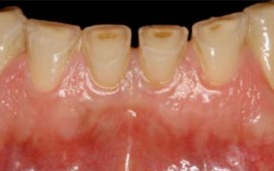
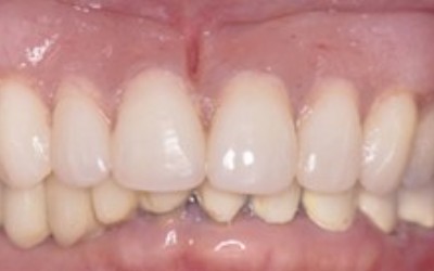
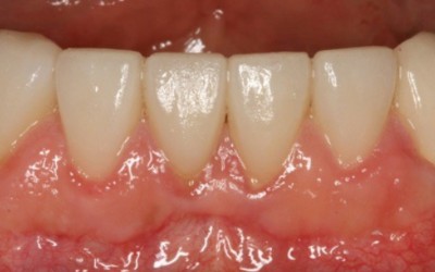
Before: Patient needs Upper Arch Rehabilitation. Presents with Upper Anterior teeth that are stained, incisal edges (tooth edge) are worn down and chipped, and gumline recession is present.
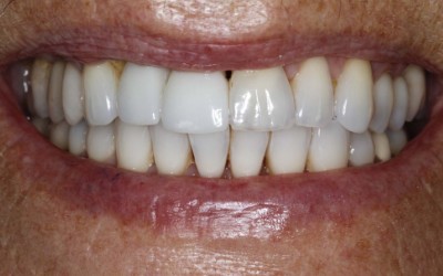
After: Smile restored with placement of 8 Upper All Porcelain Crowns (Caps). Gumline and incisal edges are now uniform. Patient now has longer, better shaped teeth to enhance the smile line and aid in chewing/biting function.
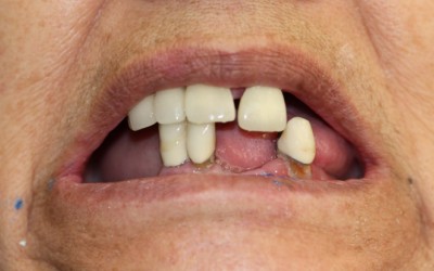
Before: Patient needs a Single Tooth Replacement of one Upper Central Incisor.
After: Smile and function restored with a Single Implant and an All Porcelain Crown (Cap) that fits securely over the implant.
DENTURES (IMPLANTS, LOWER IMPLANTS AND CROWNS)
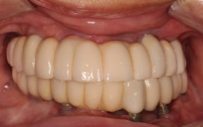
Before: Patient needs Upper and Lower Arch Rehabilitation.
After: Great smile, chewing function, and facial tissue support possible with an Upper Denture that is supported with Implants and Lower Implants and Crowns.
Before: Patient needs Upper and Lower Arch Rehabilitation.
After: Great smile, chewing function, and facial tissue support possible with an Upper Denture that is supported with Implants and Lower Implants and Crowns.
OTHERS


